Here is the direct answer: molars and premolars do not grow back. Once a permanent molar or premolar is lost, whether through extraction, trauma, or severe decay, your body will not replace it. There is no biological mechanism in humans that regenerates a lost permanent tooth. The only scenario where a "new" molar appears in the mouth is when a permanent tooth that was already developing beneath the surface finally finishes erupting, which is a normal part of childhood and adolescent development, not regrowth.
Do Molars Fall Out and Grow Back? The Real Answer
The short answer parents and adults need to hear
People search this question for two very different reasons. Parents see a child's molar fall out and wonder if a new one will come in. Adults lose a permanent molar and hope the body will somehow fill the gap. Those two situations have completely different answers, and mixing them up causes a lot of unnecessary panic or, worse, dangerous complacency. If a child under 12 loses a back tooth and it was a baby molar, yes, a permanent tooth is already on its way. If a teenager or adult loses a permanent molar, nothing is coming to replace it unless you and your dentist do something about it.
What "fall out" actually means (it depends on the tooth)

The phrase "fall out" covers two completely different events depending on which set of teeth you are talking about. Baby teeth (primary teeth) are designed to fall out. Their roots naturally dissolve in a process called resorption as the permanent tooth underneath pushes upward, which is why a wobbly baby tooth eventually just comes loose. This is normal and expected. Permanent teeth, on the other hand, do not exfoliate. They are not designed to shed. When a permanent tooth "falls out," something has gone wrong: trauma, severe decay, gum disease, or a dentist removed it because it was unsaveable. Those are very different situations.
There is a common misconception that because baby teeth fell out and permanent teeth appeared, the same cycle will repeat for permanent teeth. It will not. The biological reason permanent teeth erupted in the first place is that they were developing in the jaw all along, not that they "grew back" after the baby teeth were gone. Once the permanent set is in, there is no third set waiting underneath, with the exception of wisdom teeth, which are themselves permanent teeth erupting on their own schedule.
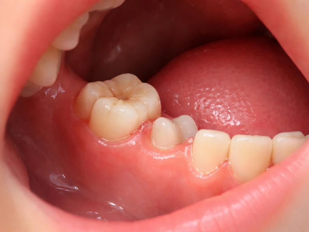
First molars, second molars, and premolars: who loses what and when
Knowing which tooth is which matters a lot here, because the eruption timeline tells you whether a tooth appearing is normal development or something else. According to ADA tooth development data, first permanent molars erupt around ages 6 to 7, and second premolars (also called second bicuspids) erupt around ages 10 to 12. If you want a full picture of when molar teeth grow and emerge through the gumline at each stage, that timeline is worth understanding before jumping to conclusions about whether a tooth is missing or just late.
Here is a practical breakdown of the three tooth types most people ask about:
| Tooth Type | Baby Version? | Permanent Eruption Age | Can It Grow Back If Lost? |
|---|---|---|---|
| First Molar | Yes (falls out ~9–11 years) | 6–7 years (permanent first molar) | No |
| Second Molar | Yes (falls out ~10–12 years) | 11–13 years (permanent second molar) | No |
| Premolar (Bicuspid) | No (replaces baby molars) | 10–12 years | No |
| Third Molar (Wisdom) | No | 17–25 years | No |
One thing that trips people up: there are no baby premolars. Premolars are permanent teeth that replace the primary (baby) molars. So if a child around age 10 to 12 has a tooth come out in the back area where a baby molar used to be, what they are seeing is likely the premolar finally finishing its eruption, not a tooth regrowing. For a detailed look at molars grow at what age, the progression from primary to permanent dentition follows a predictable sequence that most parents are not taught.
After extraction: can a molar or premolar grow back?

No. Once a permanent molar or premolar has been extracted, nothing will naturally fill that space. This is not a matter of waiting long enough or taking the right supplements. Human beings simply do not have a third set of teeth. The American Dental Association has noted that there is currently no treatment that permanently cures or restores natural tooth regrowth in humans, even though researchers have demonstrated regrowth in animals like mice and ferrets. As of now, that science has not translated into a clinical treatment for people.
After extraction, what actually happens to the surrounding area is the opposite of regrowth. The jawbone in that area begins to resorb (shrink) because it is no longer stimulated by a tooth root. Adjacent teeth gradually drift toward the gap, and the tooth above or below it can over-erupt into the empty space. These changes can happen faster than people expect and make any future replacement more complicated. Where do molars grow in the jaw also explains why gaps in the back of the mouth, which seem out of sight, cause real structural problems over time.
What about reimplanting a knocked-out tooth?
This is a special case worth separating out. If a permanent molar or premolar is knocked out by trauma (not surgically extracted due to decay), there is a narrow window where a dentist might be able to replant it. The NHS advises that for adult permanent teeth, you should try to place the tooth back in the socket if possible and get to a dentist immediately. The American Academy of Pediatric Dentistry emphasizes replantation of avulsed permanent teeth as an acute management priority when conditions allow. But the tooth has to be handled correctly: stored in milk or kept moist, and the dentist has to act fast, ideally within 30 to 60 minutes. If the tooth has been dry for more than an hour, survival of the periodontal ligament cells drops sharply and the outcome is much less predictable.
One critical rule: do not try to replant a baby tooth. Both the NHS and the American Association of Endodontists are explicit about this. Forcing a knocked-out primary tooth back into the socket can damage the permanent tooth that is still developing underneath. If a young child loses a baby molar from trauma, the correct move is to see a dentist, not to push the tooth back in.
Myths vs. reality: what the internet gets wrong about tooth regrowth
There are a few persistent myths worth calling out directly. The first is that certain supplements, oils, or minerals can "regrow" teeth. There is no credible clinical evidence supporting this for humans. Remineralization, which is a real process where fluoride and calcium help rebuild early enamel damage, is sometimes misrepresented as regrowth. It is not. You can remineralize a softened enamel surface under very specific conditions, but you cannot regrow a missing tooth or a tooth that has been extracted.
The second myth is that orthodontic treatment can cause new teeth to appear. When someone in their teens gets braces and a tooth seems to "appear" in the back of the mouth, what is actually happening is that an impacted or unerupted tooth is being guided or given space to finish erupting. That tooth was already there, sitting in the jaw, waiting. Orthodontics can help direct eruption and manage spacing, but it cannot manufacture a new tooth where none exists.
A third myth, common among parents, is that wisdom teeth will somehow fill in gaps left by extracted molars. Wisdom teeth erupt in their own fixed positions at the very back of the jaw and do not migrate into empty spaces left by other missing molars. In some orthodontic cases, a dentist might plan to use a wisdom tooth strategically, but that is a very specific clinical decision, not something that happens on its own.
Age-specific guidance: what can still happen vs. what cannot
Kids (ages 5 to 12)

In this age range, losing back teeth is often completely normal. Baby first molars typically fall out between ages 9 and 11, and baby second molars come out between 10 and 12. If your child loses a molar in this window and the tooth was visibly wiggly beforehand, a permanent replacement is already on its way. Understanding how does the mandible grow alongside the developing dentition helps explain why teeth seem to "appear" at certain ages during jaw growth.
If the tooth was not wiggly and came out from injury or decay, you need a dentist visit right away. A lost baby molar from trauma or decay may need a space maintainer to hold the gap open until the permanent tooth is ready to come in. Without that, surrounding teeth drift and the incoming permanent tooth may not have enough room.
Teens (ages 13 to 18)
By the early teens, most permanent molars and premolars are already in. If a teen loses a permanent molar, there is no replacement coming. The one exception is wisdom teeth, which are still erupting during this period and into the early 20s. The jaw itself is still growing in this period too; both till what age does the jaw grow and dental eruption timing are connected, which is why dentists sometimes delay certain treatments until growth is more complete. For a teen who has lost a premolar or molar, the dentist will typically monitor the site and plan a long-term replacement option once growth stabilizes.
Adults (19 and older)
For adults, the biological picture is simple: what you have is what you have. No new molars or premolars are coming in. If you are in your 20s and still wondering whether your jaw is changing, that question intersects with development timing. Research on does jaw grow in 20s addresses whether bone development is truly complete and what that means for dental planning. For tooth loss specifically, adults need a clinical replacement plan, not time.
When to call a dentist right now (and what to ask)

Some situations need same-day or next-day attention, not a wait-and-see approach. Contact a dentist immediately if:
- A permanent tooth was knocked out from trauma and it has been less than an hour (bring the tooth in milk or saliva)
- A child under 10 loses a back tooth suddenly, without it being wiggly
- There is pain, swelling, or bleeding at a recently extracted or lost tooth site
- A teen or adult has a permanent molar or premolar that is loose or has partially fallen out
- You are unsure whether the tooth that fell out was a baby tooth or a permanent tooth
When you go to the dentist, the most useful thing you can ask for is a dental X-ray of the area. An X-ray will show whether a permanent tooth is still developing in the jaw beneath a lost baby tooth, confirm whether all permanent teeth are accounted for, reveal any impacted teeth that have not yet erupted, and identify any bone loss around the site. These are not optional extras; they are the only reliable way to know what is actually happening.
Also ask your dentist to explain the eruption stage of any teeth still developing. Nolla staging, a standardized method used to estimate how much root development remains, can tell you roughly how much longer an unerupted tooth has before it fully arrives. If a permanent premolar is at an early Nolla stage in a 9-year-old, the dentist knows the tooth is still a couple of years out and can plan accordingly.
Real replacement options when a tooth is gone for good
If you or your child has lost a permanent molar or premolar and natural regrowth is not possible, the options a dentist will typically discuss include dental implants (the most permanent solution, where a titanium post replaces the root), a fixed dental bridge (which uses adjacent teeth as anchors), or a removable partial denture. For children and teens, the dentist will usually place a space maintainer first and wait until jaw growth is complete before committing to a permanent prosthetic solution. Each option has trade-offs in terms of cost, timeline, and what it requires from surrounding teeth, and those conversations are worth having directly with your dentist based on your specific situation.
The most important thing is not to ignore a missing permanent molar. The jaw bone in an empty socket begins to shrink within months of tooth loss, and the longer you wait, the more complex and expensive any future treatment becomes. Getting an evaluation early, even if you are not ready to make a decision, preserves your options.
FAQ
How can I tell whether my child’s “molars falling out” is normal baby-to-permanent transition or actual permanent tooth loss?
If the tooth that fell out was truly a permanent molar or premolar, there is no natural replacement. The fastest way to confirm which tooth it was is an exam plus an X-ray of the area, because the same “back tooth gap” can occur from a baby tooth loss, an extraction, decay, or an impacted tooth that is delayed.
What should I do if a permanent molar gets knocked out, and does the timeframe change the outcome?
For a knocked-out permanent tooth, time matters. If you can replant it, do so immediately (keep it moist, such as in milk or with proper moisture handling) and get emergency dental care. If it has been dry for too long, replantation may still be considered but the survival odds of the tooth’s support fibers drop sharply, so you should not wait.
If we use a space maintainer, will it also work for preventing problems after a lost permanent molar?
Do not use a space maintainer as a “wait for braces” solution if a permanent tooth is missing. Space maintainers are mainly for maintaining room after early loss of a baby tooth. If you lost a permanent molar or premolar, you typically need a different long-term replacement plan, often after growth is assessed.
Can an impacted molar or premolar look like it is “growing back” later, and how do we know the difference?
Sometimes what looks like a missing tooth “appears later,” but that is usually delayed eruption or an impacted tooth becoming visible, not regrowth. A dentist can determine this with an X-ray and eruption staging, since the tooth that “appears” later was already forming in the jaw.
What are the real risks of waiting months or longer after a permanent molar is lost?
Yes. If a permanent molar or premolar is extracted, surrounding teeth can tip or drift and the opposing tooth can over-erupt into the empty space. That can reduce the options for future replacement and can also make bite alignment and cleaning harder, so it is not just cosmetic.
Do supplements or special oils help a tooth regrow after a molar is extracted or falls out?
Supplements, oils, and “tooth regrowth” products should not be relied on to regrow a missing or extracted tooth. At best, some products can help with early enamel demineralization (remineralization), which is not the same as rebuilding a whole tooth or replacing a lost root.
Can braces make it seem like a molar or premolar regrew, and is that ever true?
Orthodontics cannot create a brand-new tooth, but it can change spacing and guide eruption of a tooth that already exists in the jaw (such as an unerupted premolar). If an adult braces case seems to add teeth, it is typically late eruption or repositioning, not regeneration.
Will wisdom teeth naturally fill the space after a molar or premolar is removed?
Wisdom teeth generally erupt in a fixed back location and do not reliably move into the exact gap left by another missing molar. If a dentist considers a wisdom tooth as part of a replacement plan, it is a specific, planned option based on alignment and space, not something that happens automatically.
Does the reason the molar is missing, like infection or severe decay, change replacement timing or options?
If a tooth is removed due to severe decay or infection, the socket and nearby bone can be affected, and replacement timing may differ. Your dentist may recommend additional imaging and a healing period before implants, and they may address infection or gum issues first to improve long-term stability.
When should we insist on dental X-rays after a molar “falls out,” and what do they confirm?
An X-ray is especially important if the “tooth that fell out” happened without a clear wiggly stage, if the child is outside typical shedding ages, or if the tooth was removed. The imaging helps confirm whether a permanent successor is developing, whether any tooth is impacted, and whether bone loss has started around the site.

Teeth grow in two natural sets: baby then permanent. Regrowth after loss is rare; wisdom teeth are the exception.

Debunks can teeth grow back 3 times. Explains natural tooth replacement once, enamel remineralization, and real treatmen

Teeth rarely regrow after permanent set: most people get one replacement only. Learn limits, myths, and what to do next.

