Let's get straight to it: you cannot make a tooth grow in faster the way you might speed up a healing cut. Human teeth follow a biological timeline that is mostly baked in from before you were born. But that does not mean you are helpless. There are real, evidence-based things you can do to support healthy eruption, remove obstacles that cause delays, and get the right dental help when something is genuinely wrong. This guide walks through all of it, without the myths.
How to Make a Tooth Grow Faster: What’s Possible
Can teeth actually "grow faster" or "grow back"? The honest answer
No supplement, diet change, or home remedy will cause a tooth to erupt weeks ahead of its natural schedule. And if a permanent tooth is lost or never developed, it will not grow back. The American Dental Association has been clear that while research expectations are high, there is no permanent, proven clinical treatment that reliably regrows human teeth the way people often imagine. Researchers are working on stem-cell and tissue-engineering approaches, but those are not available at your dentist's office today.
What people usually mean when they search for "how to make a tooth grow in faster" is one of three very different things: a developing tooth that seems slow to erupt, a baby tooth that fell out and they want the permanent replacement soon, or a missing or damaged tooth they hope can somehow regenerate. Each of those has a different answer, so it is worth knowing which situation you are actually in before doing anything.
Tooth, enamel, gum: what can actually regenerate in humans

This is where biology gets blunt. Human teeth are not like fingernails or skin. Each structure in a tooth has a different regenerative capacity, and for most of them, that capacity is zero.
- Enamel (the outer hard shell): enamel is produced only once during tooth crown development, and the ability to regenerate it is lost in humans. Once enamel is gone, it is gone for good. No food, oil, or toothpaste can rebuild it from scratch.
- Dentin (the layer under enamel): the pulp can deposit a limited amount of secondary or tertiary dentin in response to mild irritation, but this is a protective patch, not true regeneration of lost tooth structure.
- Cementum and periodontal ligament: these can show some repair after periodontal treatment, but full regeneration of a healthy attachment apparatus is still a significant challenge in dentistry.
- The whole tooth: research into tooth organogenesis has confirmed that human teeth have no stem cell niches housing progenitors capable of forming a new tooth from scratch. Growing an entire tooth organ, including enamel, dentin, cementum, pulp, and periodontal ligament, has not been achieved in routine clinical care despite promising lab studies.
- Gums: gum tissue can heal from inflammation and minor injury, but gum tissue lost to advanced gum disease does not simply grow back without intervention.
If you have read about whether teeth can grow longer naturally, the short answer is that they cannot lengthen in a healthy way. What sometimes looks like teeth getting longer is actually gum recession exposing more of the root, which is a problem, not growth.
Age-based timelines: what to expect as a teen vs. an adult
Teens and kids: eruption is still happening
For anyone under about 21, the story is more hopeful because teeth are still in active development. Primary (baby) teeth are typically lost between ages 6 and 12, and permanent replacements follow a fairly predictable schedule. Central incisors usually come in around ages 6 to 8, canines around 9 to 12, and second molars between 11 and 13. Wisdom teeth typically begin erupting between 17 and 21, though this varies widely. If a tooth seems late, there is often a biological explanation and sometimes a fixable mechanical one.
Parents asking how to make their child's teeth grow in faster should know that the most common reasons for apparent delay are retained baby teeth blocking the path, crowding, or simply normal individual variation. The range of "normal" is wide. A tooth that arrives six months later than average is not necessarily a problem.
Adults: eruption is finished, and regeneration is not coming
If all your permanent teeth are in and you lose one, there is no third set waiting. Adult tooth loss means the options are prosthetic: dental implants, bridges, or partial dentures. For adults still waiting on wisdom teeth (which can erupt as late as the mid-20s), some natural support strategies do apply, but the timeline is largely genetic. For an adult whose existing teeth seem short or worn, that is almost always a story about erosion, grinding, or recession, not stunted growth, and it needs a dentist, not a supplement.
When "faster growth" is really an eruption or impaction problem

A lot of the frustration people feel about slow tooth growth comes down to two mechanical situations: delayed eruption and impaction. These are very different from actual tissue regeneration, and both can often be addressed with dental treatment.
Delayed eruption happens when a tooth has formed normally but is taking longer than expected to push through the gum. Common causes include crowding (not enough space), a retained baby tooth sitting in the way, a thick gum layer over the tooth, or a benign cyst. Impaction is more serious: the tooth is physically blocked and cannot erupt on its own. Wisdom teeth are the most common example, but canines are actually the second most commonly impacted teeth in the mouth. If you are wondering about how to make wisdom teeth grow in faster, the honest answer is that you mostly cannot, but a dentist can tell you whether the tooth is on track, impacted, or needs to be addressed.
The distinction matters because trying to speed up an impacted tooth at home is pointless at best and dangerous at worst. These situations need imaging and professional management, not dietary tweaks.
How to support healthy eruption: what actually helps
While you cannot override your genetic timeline, a healthy physiological environment gives developing teeth the best chance of erupting on schedule without complications. The research points to a few specific areas.
Nutrition for mineralization

Teeth need calcium, phosphorus, and vitamin D during development. Calcium and phosphorus are the main minerals in enamel and dentin. Vitamin D is essential for absorbing calcium from food. Deficiency in any of these during childhood can affect how teeth form and how readily they erupt. Good food sources include dairy products, leafy greens, nuts, fish, and eggs. For teens and growing kids, getting enough protein also matters because dentin and the periodontal ligament have protein components.
- Calcium: dairy, fortified plant milks, broccoli, almonds, sardines
- Vitamin D: fatty fish (salmon, mackerel), egg yolks, fortified foods, and sensible sun exposure
- Phosphorus: meat, poultry, fish, legumes, dairy
- Protein: eggs, meat, fish, beans, dairy
- Vitamin C: citrus, bell peppers, strawberries (supports gum tissue and the periodontal ligament)
One thing that genuinely undermines eruption environments is chronic sugar and acid exposure. Acids from fizzy drinks and frequent snacking damage the gum tissue and the emerging tooth surface. Keeping sugar and acid intake low is one of the few dietary habits with a direct positive effect on the eruption environment.
Oral hygiene as a growth enabler
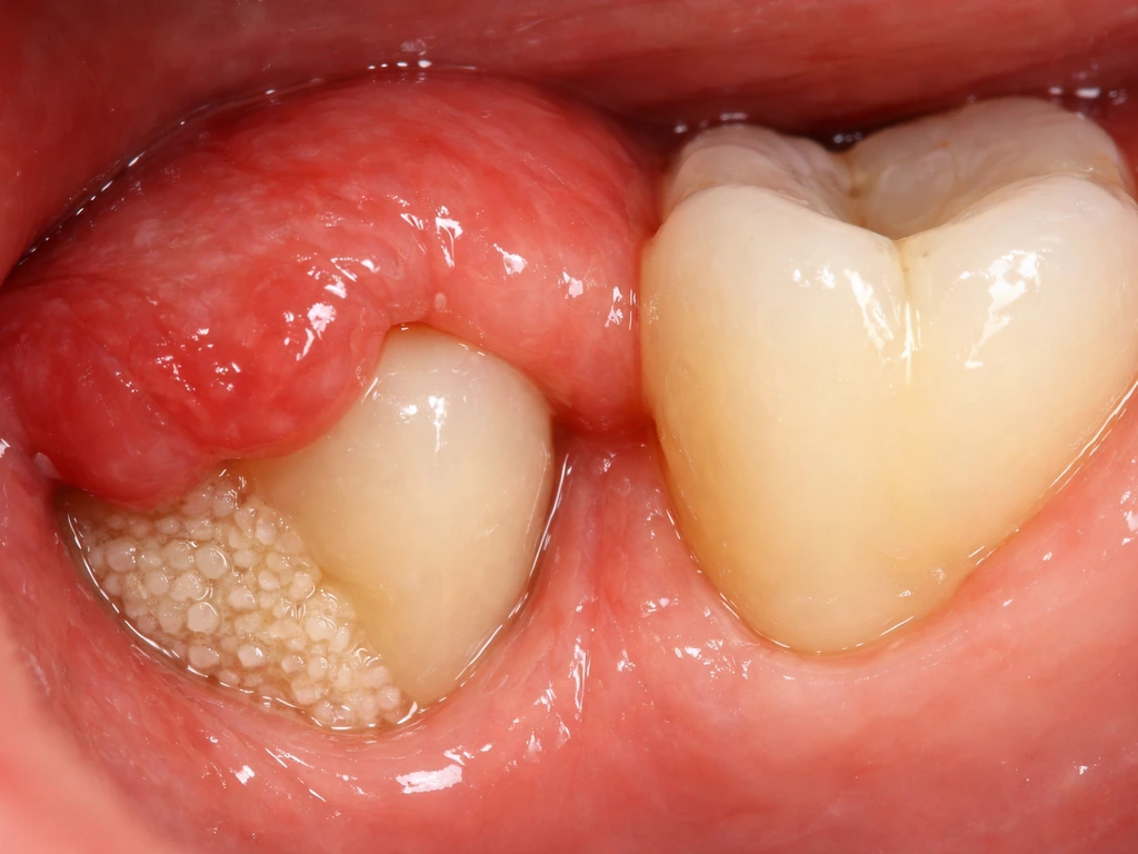
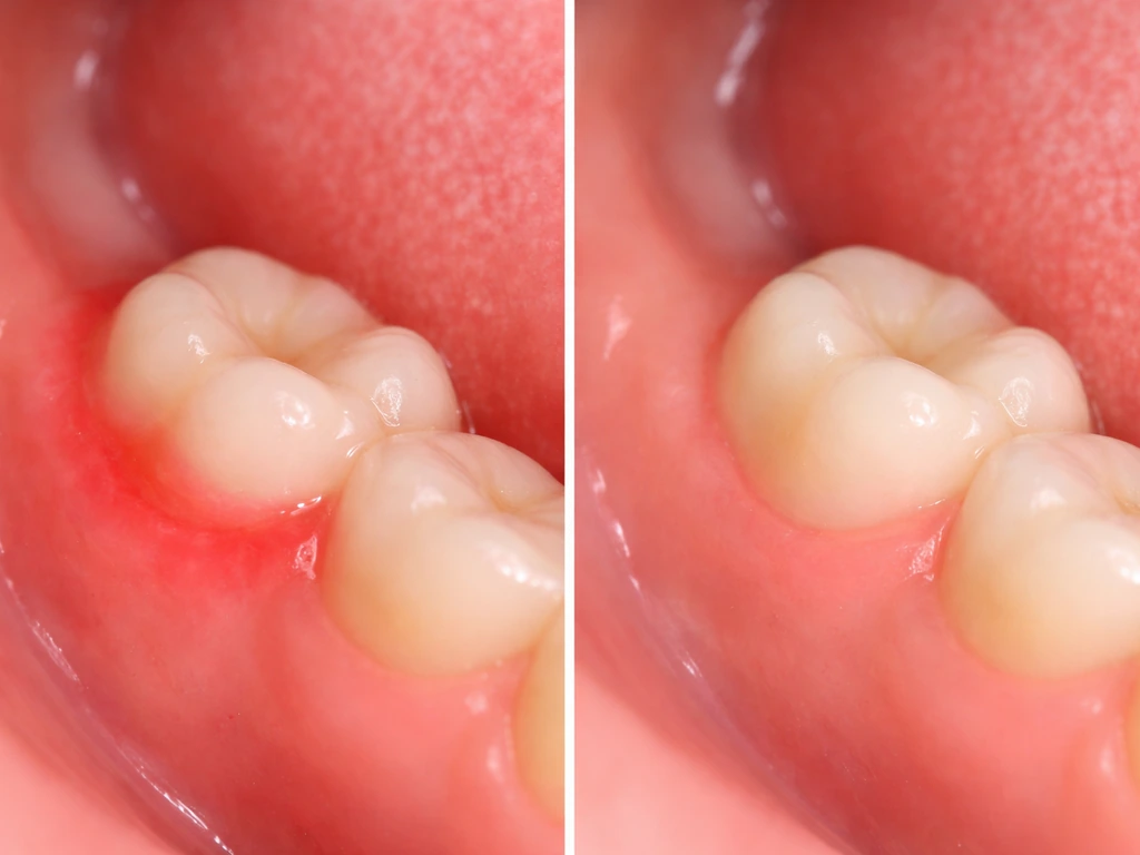
Inflamed, infected gum tissue is a real obstacle to smooth eruption. Bacteria-laden gums become swollen and fibrotic, and a tooth trying to push through thick, infected tissue has a harder time of it. Brushing twice daily with a fluoride toothpaste, flossing, and using a soft toothbrush around erupting areas keeps the tissue healthy and more cooperative. If you have a tooth actively trying to come in, keep the area especially clean to prevent pericoronitis, which is an infection of the gum flap over a partially erupted tooth, a common and painful problem with wisdom teeth.
Habits that help vs. habits that hurt
| Habit | Effect on Eruption/Tooth Health | Verdict |
|---|---|---|
| Fluoride toothpaste twice daily | Supports enamel resistance during eruption | Do this |
| Adequate calcium and vitamin D intake | Supports mineralization of forming teeth | Do this |
| Keeping gum tissue clean and inflammation-free | Reduces mechanical resistance to eruption | Do this |
| Removing retained baby teeth promptly (dentist) | Clears the path for permanent teeth | Do this |
| Chewing hard foods on the erupting side | Can irritate the gum and cause pain or infection | Avoid |
| Taking unproven supplements or oils | No evidence of effect on eruption timing | Skip it |
| Ignoring crowding and hoping it resolves | Can lead to impaction or malalignment | See a dentist |
Dental treatments that can actually move the needle
This is where real acceleration happens, not at home, but in the dental chair. There are several legitimate clinical approaches that influence eruption timing and outcomes.
Extracting retained baby teeth
If a baby tooth is stubbornly holding its spot past the normal transition age, the permanent tooth below it often cannot erupt until the baby tooth is removed. This is one of the simplest and most reliable ways to let a delayed tooth come through. X-rays confirm whether the permanent tooth is present and positioned correctly before the extraction.
Space management and orthodontics

Crowding is one of the most common reasons permanent teeth erupt late, sideways, or not at all. Orthodontic treatment, including expanders, braces, or clear aligners, can open space in the arch so a delayed tooth has room to erupt. This is especially relevant for canines, which are the teeth most likely to become impacted due to crowding. Early intervention, ideally between ages 7 and 10 for most space issues, gives the best results. If you are curious about how to make your teeth grow in properly during adolescence, getting a space analysis from an orthodontist early is genuinely one of the most useful steps you can take.
Surgical exposure of impacted teeth
When a tooth is impacted and orthodontic space alone will not do the job, an oral surgeon or periodontist can surgically expose the tooth and bond a bracket to it. The orthodontist then uses a chain and wire to gently guide it into position. This works well for impacted canines and is sometimes done for other teeth too. It is not a quick fix but it is highly effective.
Operculectomy for wisdom teeth
If a wisdom tooth is partially erupted but a thick flap of gum (operculum) is covering it, a minor surgical procedure can remove that flap and allow the tooth to erupt more cleanly. This is only appropriate when the tooth is actually in a good position and has room to come through, which is not always the case with wisdom teeth.
Treating infection and inflammation

Infection around an erupting tooth stalls the process and causes pain. Treating pericoronitis with irrigation, antibiotics if needed, and better hygiene clears the environment so the tooth can continue its path. Leaving an infection untreated does not just slow eruption, it can cause bone loss and systemic problems.
Replacing teeth that will never come back
For adults who have lost permanent teeth, the practical conversation is about replacement, not regrowth. Dental implants are the closest thing to a natural tooth root and support a crown that looks and functions like a real tooth. Bridges and partial dentures are alternatives. None of these are "regrowing" a tooth, but they restore function and appearance. If you have been reading about how to make teeth grow longer naturally after recession or loss, it is important to understand that cosmetic lengthening through natural means is not possible. Crown lengthening is a dental procedure, not a DIY outcome.
A note on wisdom tooth alignment
One question that comes up often is whether anything can be done to influence the angle a wisdom tooth takes as it erupts. The answer is mostly no: angle is determined by the available space and the tooth's developmental position. However, if there is enough room and the tooth is coming in slightly tilted, some orthodontists have had success with uprighting mechanics. Learning more about how to make your wisdom teeth grow straight is worth a specific conversation with your dentist, who can assess your panoramic X-ray and tell you whether there is any realistic chance of a favorable eruption.
What about specific teeth: molars and canines
Different teeth have different timelines and different common problems. Molars, especially second and third molars, are frequently delayed or impacted. If your child's second molars seem late (they typically erupt between 11 and 13), crowding or a retained baby molar is often the cause. For adults worried about how to make their molars grow in faster, the same logic applies: an X-ray will show whether the tooth is forming, positioned correctly, and has a clear path.
Canines get their own mention because they are cosmetically significant and often mismanaged. Upper canines are the second most commonly impacted teeth, and when they fail to erupt by around age 13 or 14, intervention is needed. People sometimes ask about how to make their canine teeth grow longer for aesthetic reasons, but the more common clinical need is simply getting them to erupt in the first place. Regular dental X-rays between ages 9 and 11 can catch a displaced canine early, when space management is most effective.
When to see a dentist urgently: don't wait on these
Some situations need a dental appointment soon, not eventually. Here is when to stop waiting and book in.
- A permanent tooth has not appeared 6 months after the baby tooth in that spot fell out.
- There is swelling, redness, or pus around a tooth that is trying to erupt.
- You have pain, pressure, or numbness in the jaw area near an emerging tooth.
- A tooth came in visibly crooked, rotated, or in the wrong location.
- A baby tooth is still present at age 13 or 14 where a permanent tooth should have replaced it.
- You had dental trauma (a knocked-out or cracked tooth) at any age.
- You can feel a hard bump under the gum where a tooth should be but has not appeared.
- An erupting wisdom tooth is causing pain that has persisted more than two weeks.
At your appointment, ask for a full panoramic X-ray if you have not had one recently. This single image shows all your teeth, including unerupted and impacted ones, and gives the dentist everything needed to explain what is happening and what can be done. Ask specifically: Is the tooth present? Is it forming normally? Is there a clear path for it to erupt? What is the timeline, and when should I come back if nothing has changed?
The bottom line: what you can and cannot do
You cannot force a tooth to erupt before its biological schedule, and you cannot regenerate lost enamel or a missing permanent tooth through any home remedy or supplement. What you can do is support the conditions for healthy eruption through good nutrition (especially calcium, vitamin D, and protein), keep the gum environment clean and infection-free, and get professional help to remove obstacles like retained baby teeth, crowding, or impacted positions. If a tooth has been lost as an adult, replacement options like implants are reliable and functional, even if they are not the true biological regrowth people hope for. The most productive thing you can do today, if you are worried about a tooth that seems missing or delayed, is to get an X-ray and talk to a dentist about what is actually happening beneath the surface.
FAQ
How can I tell if a “slow” tooth is just within the normal range or a delay that needs treatment?
Compare it to typical eruption windows for that specific tooth and consider growth context (age, spacing, and whether a baby tooth is still present). If a tooth is more than about 6 to 12 months behind the usual range, or you see asymmetry (one side erupting while the other stays covered), an X-ray is the fastest way to distinguish normal variation from crowding, retention, or impaction.
Is it safe to try to speed up eruption by massaging the gum, using teething gels, or using pain relief products?
Generally, avoid gum massage or unprescribed products. If a tooth is delayed due to crowding or an impacted position, home “encouragement” will not change the mechanics. Also, frequent numbing gels or antiseptics can irritate tissue, and if there is infection, it needs professional evaluation rather than symptom masking.
What should I do if the tooth looks like it is coming in but it keeps getting stuck?
Treat it like a potential inflammation or partial-eruption problem. Keep the area meticulously clean with gentle brushing and flossing, watch for worsening swelling or bad taste, and contact a dentist if pain, recurrent bleeding, or a gum flap over the tooth persists. Pericoronitis and infected tissue can stall eruption even when the tooth is positioned correctly.
Can braces or aligners make a tooth come in faster than it otherwise would?
They can improve timing indirectly by removing mechanical obstacles (creating space, guiding eruption paths, or uprighting tilted teeth). However, they do not force biology to override genetics. The practical goal is a better eruption outcome, you might see improved positioning and sometimes earlier emergence once space and path are corrected.
If a baby tooth is retained, do I need to wait or should I remove it right away?
You should not wait without imaging. Dentists typically use X-rays to confirm the permanent tooth is present and positioned, and to decide whether retention is blocking eruption. Removing a retained baby tooth can be one of the simplest ways to allow the permanent tooth to proceed, but it depends on spacing and the permanent tooth’s angle.
What imaging is actually necessary, do I always need a panoramic X-ray?
A panoramic X-ray is often a good first step because it shows unerupted and impacted teeth across the whole mouth in one image. For specific teeth, dentists may add targeted bitewing or periapical X-rays, especially to assess root development, cysts, or the exact eruption path before planning exposure or extraction.
Could vitamin D, calcium, or protein help a tooth erupt sooner?
They help only if you are deficient or not meeting nutritional needs during development. They will not make a normally developing tooth jump ahead of its schedule. A clinician can help assess whether supplementation is appropriate, particularly if the child has low sun exposure, dietary restrictions, or other risk factors.
Does frequent snacking or acidic drinks delay eruption, and how soon would changes matter?
High sugar and acid exposure can worsen gum and emerging-tooth environment, which may contribute to inflammation and delayed progress. If you reduce exposure, you may see gum health improve within weeks, but eruption timing is still constrained by developmental biology. The biggest benefit is preventing complications rather than guaranteeing faster eruption.
When would an impacted tooth likely require surgery or orthodontic exposure?
If imaging shows the tooth cannot erupt due to lack of space, wrong angulation, or physical blockade, options shift from waiting to active management. Exposing and bonding the tooth with orthodontic guidance is commonly considered when the tooth is positioned favorably but needs help creating a path, especially for canines and certain molars.
Can wisdom teeth be made to grow in straight or at a better angle without intervention?
Most angling is determined by available space and the tooth’s developmental position, so you usually cannot control it with home methods. If the tooth is slightly tilted and there is adequate space, some orthodontic “uprighting” mechanics may help. The decision requires a panoramic X-ray and sometimes a closer look at the angle and space.
If I lost an adult tooth, is there any way to regrow it or restore enamel naturally?
No. Adult tooth loss does not regenerate, and enamel cannot be rebuilt at home through supplements or remedies. The realistic options are replacements (implants, bridges, partial dentures), and any improvements to tooth appearance from wear or recession usually involve dental procedures like crowns or restorative work, not natural growth.

Know what can and cannot speed tooth eruption, movement, or regrowth, with age timelines and safe next steps.

Teeth grow in two natural sets: baby then permanent. Regrowth after loss is rare; wisdom teeth are the exception.

Debunks can teeth grow back 3 times. Explains natural tooth replacement once, enamel remineralization, and real treatmen

