A tooth growing behind another tooth is almost always caused by one of two things: a new permanent tooth erupting before or without the baby tooth falling out, or a tooth coming in where there simply isn't enough space in the jaw for it to sit correctly. It looks alarming, especially in kids, but it's one of the most common things dentists see. The real question worth asking isn't just "why is this happening" but "is this the kind of thing that fixes itself, or do I need to act now?" The answer depends on your age, which tooth it is, and a few signs you can actually check at home.
Why Do Teeth Grow Behind Teeth? Causes and What to Do
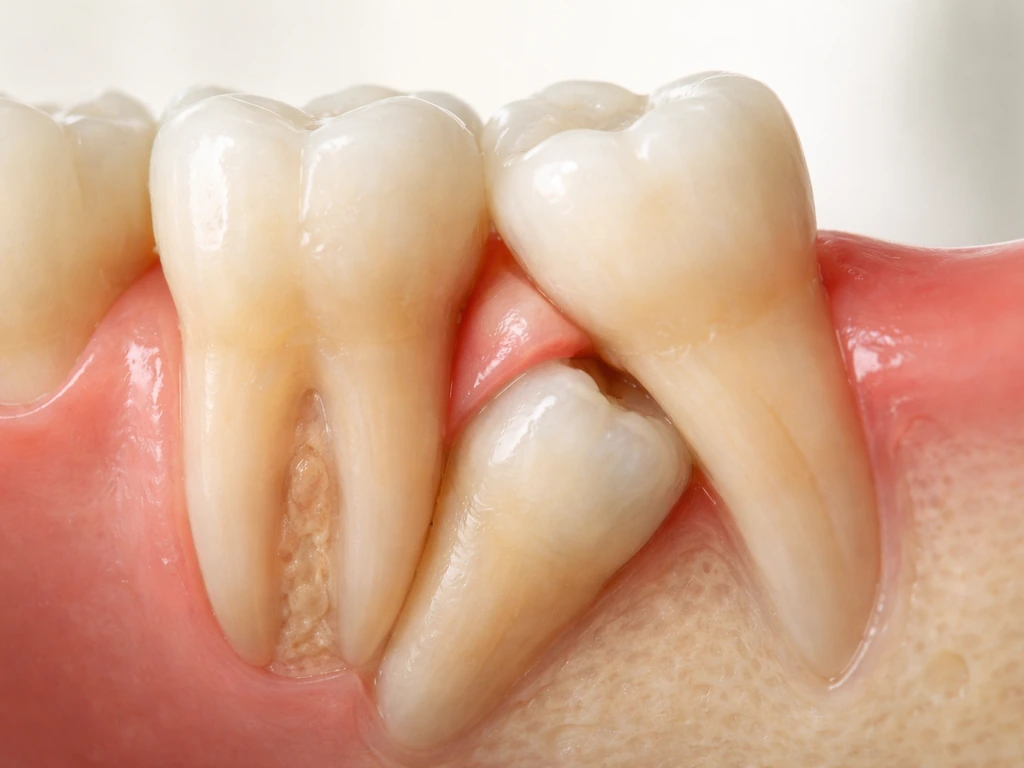
How a tooth ends up behind another tooth

Every tooth needs a clear biological pathway to make it through the gum and into position. That pathway involves the dental follicle (a sac of tissue surrounding the developing tooth), osteoclasts remodeling the bone ahead of it, and the periodontal ligament helping generate the force to move it upward. When that process runs smoothly, the incoming tooth lines up roughly where it should. When something disrupts it, the tooth can veer off course.
The most common disruption is simple crowding. If the jaw doesn't have enough room for all the teeth trying to erupt, incoming teeth get pushed out of their ideal lane. Dental researchers describe this as a "tooth size to arch length discrepancy" meaning the teeth are collectively wider than the jaw arch they're erupting into. The result is that a new tooth, instead of nudging the old one out of the way cleanly, pops up behind it, in front of it, or rotated at an odd angle.
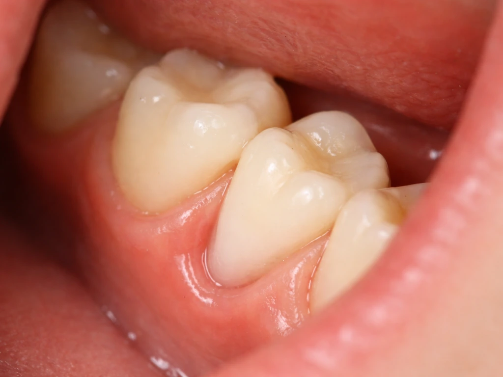
In children, this is most obvious in the lower front teeth. A permanent incisor starts erupting while the baby tooth above it is still firmly rooted. Instead of pushing it out from below, the adult tooth comes in behind the row, creating what parents sometimes call "shark teeth." In teenagers and adults, the same basic mechanic applies to wisdom teeth, which often erupt behind the second molars simply because the back of the jaw runs out of space.
Age and timeline: what it usually means at different life stages
Kids (ages 5 to 12)
The "shark teeth" scenario in young kids is extremely common and usually resolves on its own within a few weeks, provided the baby tooth wiggles out. The lower front permanent teeth typically erupt around age 6 to 7, and if the corresponding baby teeth haven't loosened yet, the permanent teeth often come in behind them. If the baby tooth is at all loose, encourage your child to wiggle it daily. Most of the time it falls out within 2 to 4 weeks and the adult tooth drifts forward into place on its own, guided by tongue pressure. If the baby tooth isn't loose at all and the adult tooth has been visible for more than a month, it's time to see a dentist, because the baby tooth's root may not be resorbing the way it should. If your real question is why your teeth haven't grown in yet, the same crowding and eruption-timing factors can be involved, and an exam with imaging is often the fastest way to confirm what’s going on If the baby tooth isn't loose at all and the adult tooth has been visible for more than a month, it's time to see a dentist.
Tweens and teens (ages 10 to 18)

This is when crowding really shows up. As the mouth transitions from primary to permanent teeth, arch dimensions shift and the tooth size to arch length discrepancy becomes obvious. Permanent premolars, canines, and second molars can all erupt behind or overlapping other teeth if space management wasn't done early. Wisdom teeth typically start developing through the teen years and begin erupting anywhere from age 17 to 25. When they erupt partially behind the second molars, that's the beginning of what's often called impaction, and it warrants an X-ray, not a wait-and-see approach.
Adults (18 and up)
In adults, a tooth appearing behind another tooth is almost never "normal eruption taking care of itself." By the mid-20s, the jaw is fully formed. If a tooth is visibly erupting behind others at this point, it's most likely an impacted wisdom tooth partially breaking through, an ectopic tooth that has been slowly drifting, or a tooth that was always malpositioned but is becoming more visible due to shifting. This needs professional evaluation, not patience.
Signs it might be an impacted or ectopic tooth

Not every tooth that appears behind another one is a benign crowding situation. Ectopic eruption (where a tooth erupts in a completely wrong position) and true impaction (where the tooth is blocked from erupting at all) are more serious and need treatment. Watch for these warning signs:
- Pain or pressure that doesn't go away after a week or two, especially at the back of the mouth near wisdom teeth
- Swelling, redness, or tenderness in the gum tissue around the erupting tooth
- The tooth has been visible for more than 4 to 6 weeks without the baby tooth loosening (in kids) or without any forward movement
- You can see a tooth poking through at a clearly sideways or horizontal angle rather than vertically
- Neighboring teeth are shifting, tilting, or causing new bite problems
- Difficulty opening your mouth fully, or jaw stiffness (particularly relevant for wisdom teeth)
- Bad taste or discharge near the erupting tooth, which can signal infection around a partially erupted tooth (pericoronitis)
Ectopic eruption is closely linked to tooth size and arch length discrepancy. Research on ectopically erupting maxillary incisors confirms that interceptive orthodontics, started early once ectopic eruption is noticed, is the standard management approach. Left alone, ectopic teeth can resorb the roots of neighboring teeth and cause damage that's hard to reverse.
What you can do today before your appointment
You can do a useful self-check right now. Get a flashlight and look in the mirror (or have someone help you if it's a child). Note exactly where the tooth appears: is it directly behind a baby tooth, or is it clearly off to the side or at an angle? Is the tooth in front of it loose at all? Is there any swelling in the surrounding gum? Write down when you first noticed it and whether there's any associated pain. This information is genuinely useful at a dental appointment and speeds up triage.
For kids with a loose baby tooth in front of the erupting one, encourage gentle wiggling several times a day. Eating crunchy foods like apples and carrots can help naturally. Don't force it or use home extraction methods; that can break the root and create a bigger problem.
For teens or adults with a tooth appearing behind the molars (likely a wisdom tooth), avoid trying to manage the discomfort indefinitely with over-the-counter pain relievers. Ibuprofen can help with inflammation short-term, but it's masking a structural issue that only imaging can diagnose. Book a dental appointment within the next week or two rather than waiting months.
As a general rule: if the baby tooth isn't loose and the adult tooth has been visible for more than 4 to 6 weeks, call a dentist. If there's pain, swelling, or the tooth is clearly coming in at a bad angle, don't wait at all.
How dentists figure out what's actually going on

A visual examination tells a dentist a lot, but it doesn't tell the whole story. What's happening at the surface is only part of it; what matters just as much is the position of the tooth's root, how much bone is blocking its path, and whether adjacent roots are being affected. That's why imaging is almost always part of the workup.
A standard periapical X-ray gives a detailed view of individual teeth and their roots, which is often enough to assess a single problem tooth. A panoramic X-ray (the one where the machine rotates around your head) shows all the teeth at once and is particularly useful for spotting impacted wisdom teeth, ectopic canines, or supernumerary teeth (extra teeth) that might be the actual cause of the crowding. If your question is why do extra teeth grow, it can also be related to a supernumerary tooth creating crowding. For complex cases, especially impacted canines or teeth in unusual positions, a cone beam CT (CBCT) provides a 3D view of exactly where the tooth is in the bone and how it relates to surrounding structures.
After imaging, the dentist or orthodontist can give you a specific diagnosis: retained baby tooth, impacted wisdom tooth, ectopic eruption of a permanent tooth, or something less common like a supernumerary tooth causing the congestion. Each has a different treatment path.
Treatment options, depending on what's causing it
| Cause | Likely Age Group | Common Treatment |
|---|---|---|
| Baby tooth not falling out / adult tooth erupting behind it | Kids 5 to 12 | Wiggling at home; extraction of baby tooth if it won't loosen; monitor for self-correction |
| Crowding during transition to permanent teeth | Tweens 10 to 14 | Space maintainers, palatal expanders, early orthodontics, possible extraction of specific teeth |
| Ectopic eruption of a permanent tooth | Children to teens | Interceptive orthodontics, brackets and chains to guide the tooth, possible extraction if too malpositioned |
| Impacted wisdom tooth | Teens to adults 17 to 30 | Monitoring if asymptomatic and fully impacted; surgical extraction if partially erupted, painful, or causing damage |
| Ectopic or drifting adult tooth in an adult jaw | Adults 25 and up | Orthodontic treatment (braces or aligners), extraction in severe cases, surgical exposure if fully buried |
Monitoring vs. acting
In young kids where the baby tooth is loose, monitoring for 4 to 6 weeks is reasonable and often all that's needed. For impacted wisdom teeth that are fully buried and causing no symptoms, some dentists take a watch-and-wait approach with periodic X-rays. But partially erupted wisdom teeth left in place long-term are associated with higher risk of decay and pericoronitis (infection of the gum flap), so "monitoring" needs to be active, not just hoping for the best.
Orthodontics
When crowding is the root cause, orthodontic treatment addresses the space problem rather than just the symptom. Palatal expanders can widen the upper arch in growing children to create more room before permanent teeth fully erupt. Traditional braces and clear aligners can shift existing teeth to open a path for the displaced one. In some ectopic cases, particularly high canines, the dentist surgically exposes the buried tooth and an orthodontist uses a bracket and chain to slowly guide it into position over months.
Extractions
Sometimes the most practical solution is removing a tooth to relieve crowding. This is almost always the baby tooth in children. In teens and adults it can mean extracting one or more premolars to create room for orthodontic alignment, or extracting wisdom teeth that are impacted and have no realistic path to a functional position. Extraction isn't a failure; for wisdom teeth especially, removal in the late teens or early 20s is simpler and heals faster than waiting until problems develop in the 30s.
Can teeth actually grow back? What regeneration can and can't do here
This is worth addressing directly because there's a lot of noise online about "regrowing" teeth naturally. Humans get exactly two sets of teeth: primary (baby) teeth and permanent teeth. Once a permanent tooth is lost or removed, the jaw does not generate a third one. There is no biological mechanism in adult humans that produces a replacement tooth from scratch. The tooth erupting behind another tooth isn't regrowth or regeneration; it's a tooth that was already developing inside the jaw finally making its way through. The tooth itself is formed from developing tooth tissue beneath the gums, and the erupting crown is the part that breaks through into your mouth the tooth erupting behind another tooth. The same basic growth process is what determines how your teeth develop from the time they form under the gums finally making its way through.
What about enamel? Enamel, the hard outer layer of a tooth, cannot regenerate either. Enamelforming cells (ameloblasts) are only active during tooth development and are gone by the time a tooth erupts. Surface-level remineralization using fluoride can partially repair very early enamel damage at a microscopic level, but that is not regrowing enamel; it's reinforcing what's still there. This is a site focused on the real biology of dental regeneration, and the honest answer here is: don't mistake a new tooth erupting for regeneration, and don't count on supplements or oil pulling to fill the space left by a displaced tooth. Yellow-looking teeth are often enamel or surface issues, so it helps to have your dentist check for staining, decay, or discoloration at the same visit.
There is real scientific research into dental stem cells and potential future therapies that could one day prompt tooth regeneration in humans, and some early-stage trials are exploring this. But as of today, nothing on the market regenerates a tooth. The only proven path forward when a tooth is in the wrong place is the one dentists and orthodontists already offer: assessment, imaging, and the appropriate mechanical or surgical intervention.
Early habits and prevention: what actually helps
You can't always prevent crowding; jaw size and tooth size are largely genetic. But some things genuinely do help reduce the severity of the problem. Getting kids in for orthodontic screening by age 7, which the American Association of Orthodontists recommends, allows early detection of arch discrepancies while the jaw is still growing and more responsive to intervention. Space maintainers after early loss of baby teeth prevent neighboring teeth from drifting and blocking eruption paths. Avoiding prolonged thumb-sucking or pacifier use past age 3 to 4 helps preserve normal arch development.
For wisdom teeth specifically, getting a panoramic X-ray in the mid-to-late teens gives a clear picture of how they're positioned before they cause problems. If they're angled badly toward the second molars, early removal is considerably less complicated than waiting until they're fully formed and the roots are longer. This is one area where proactive imaging genuinely pays off.
If you've noticed a tooth growing behind another tooth, the biology is almost always explainable and the treatment is almost always manageable. If you're wondering why do teeth grow crooked in the first place, it usually comes down to crowding, eruption timing, and space in the jaw treatment is almost always manageable. The worst thing to do is assume it will sort itself out without checking. A quick dental visit with an X-ray gives you a real answer, and from there, the path forward is usually clearer than the initial panic suggests.
FAQ
How can I tell if a “behind” tooth is just temporarily delayed eruption versus a true impaction?
Look for whether it is gradually moving forward week to week, or staying stuck with the same position. If a tooth is partially visible behind another and does not seem to progress over about 4 to 6 weeks, ask for imaging to check whether the path is blocked and whether the adjacent roots are being pushed or resorbed.
My child’s permanent tooth is visible, but the baby tooth is loose only a little. Should we wait or call the dentist?
Call sooner if the baby tooth has not loosened more clearly over 2 to 4 weeks, or if there is swelling, bad taste, or pain around the gum. Gentle daily wiggling is fine, but prolonged “half-loose” situations can mean the adult tooth is erupting in a restricted path and needs an exam.
Is it safe to pull out a loose baby tooth at home to fix “shark teeth”?
No. Even if a baby tooth appears loose, pulling it out can fracture the root or leave tissue behind, which can inflame the gum and complicate the eruption. If it will not come out on its own, a dentist can remove it safely if needed.
Do over-the-counter pain relievers help with a tooth coming in behind another, or can they hide a problem?
They can reduce discomfort short term, but they do not correct the underlying space or blockage issue. If pain comes with swelling, fever, or a partially erupted gum flap, treat it as time-sensitive and request an evaluation rather than relying on medication for weeks.
If an adult tooth is erupting behind another, is it always a wisdom tooth problem?
Not always. It could be a slowly shifting premolar or molar, an ectopic tooth (coming in from the wrong position), or a supernumerary (extra) tooth creating the crowding. Imaging matters because the cause determines whether orthodontics, removal, or both are needed.
What gum signs suggest the eruption problem could be infection (like pericoronitis)?
Watch for gum swelling over a partially erupted area, redness, tenderness, foul taste or odor, pus, or pain that worsens when biting. Those symptoms are not a normal part of delayed eruption and warrant prompt dental care.
Can crowding that causes a tooth to come in behind another be prevented?
You can reduce severity, not always eliminate it. Early orthodontic screening around age 7 helps detect arch length discrepancies while the jaw is still more adjustable, and using space maintainers after early baby tooth loss can prevent neighboring teeth from drifting into the eruption path.
Will braces or aligners alone fix the problem if the tooth is ectopic or impacted?
Sometimes, but not always. If the tooth is blocked (true impaction), treatment often includes surgical exposure and orthodontic guidance, or other targeted interventions. The key detail is the tooth’s root position and how much bone blocks the eruption path, which is why imaging guides the plan.
How do dentists decide between monitoring and treating a partially erupted wisdom tooth?
They consider symptoms, how much of the tooth is exposed, and whether the gum flap is getting inflamed repeatedly. If it is partially erupted and stays that way long term, the risk of decay and pericoronitis rises, so “monitoring” usually includes scheduled rechecks and periodic X-rays, not just waiting indefinitely.
Does enamel ever “grow back” to fill the gap when a tooth erupts in the wrong place?
No. Tooth enamel cannot regenerate after it forms. What can help is remineralization from fluoride for very early surface changes, but that does not move or replace displaced teeth. If a tooth is coming in at an angle, the primary fix is alignment and space management.
What information should I write down or bring to the appointment to speed up diagnosis?
Record when you first noticed the tooth, whether it is getting more visible week to week, any pain or swelling, and whether the tooth in front is loose (for children). If possible, note which side (left or right) and which tooth area (front incisors, canines, molars, or wisdom area) to help the clinician triage the most likely causes faster.

Explains where teeth start in jaw tissue, eruption timing, and why new teeth or enamel can’t regrow from random spots.

Learn how teeth erupt through gums, typical timelines, wisdom teeth delays, and why enamel or teeth can’t regrow.

Learn why teeth grow crooked and what causes misalignment, plus practical steps and treatments to fix it

