A wisdom tooth typically takes anywhere from a few months to several years to fully grow in, depending on what stage of development you're measuring. If you're wondering why yours seems to be taking forever, that's actually pretty normal. The short answer: initial gum emergence usually happens between ages 17 and 25, but complete root formation can keep going until your mid-20s, so if you're asking where do the wisdom teeth grow, it helps to know that they emerge in stages during that late-teens-to-mid-20s window. Let's break down exactly what's happening and what to expect.
How Long Does a Wisdom Tooth Take to Grow and Erupt?
What 'wisdom tooth growth' actually means

Before we talk timelines, it helps to understand that 'growing in' isn't a single moment. There are actually a few distinct stages people mean when they say a wisdom tooth is 'growing,' and mixing them up is where most of the confusion comes from.
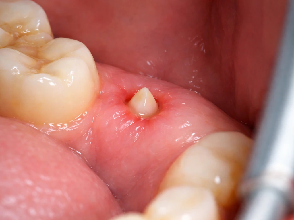
- Gingival emergence: This is when the very tip of a cusp first pokes through the gum tissue and becomes visible. It's the first sign you or your dentist can see with the naked eye.
- Complete emergence/eruption: This is when the whole chewing surface has cleared the gum line and the tooth has moved into its full position in line with your other teeth.
- Root formation: Even after the crown (the visible part) has fully erupted, the roots below the gum keep developing. Root growth continues well after the tooth looks 'done' from the outside.
- Full development: The tooth is truly finished when both the crown is fully erupted and the roots are completely formed, typically around your mid-20s.
One more thing worth clarifying upfront: wisdom teeth growing in is not the same as tooth regeneration. This site covers a lot of ground on whether teeth can grow back after being lost or extracted. The answer to that is no, adult human teeth do not regenerate naturally. What's happening with wisdom teeth is different: they're the last set of teeth you were always going to get, following a biological schedule that started before you were born. If a wisdom tooth is extracted, it will not grow back. If a wisdom tooth is extracted, it will not grow back. If you're curious about that side of things, there's more on it in the related article on whether wisdom teeth grow back.
Typical eruption timeline: when wisdom teeth actually show up
Most sources agree on a core window. The American Association of Oral and Maxillofacial Surgeons (AAOMS) puts wisdom tooth eruption at roughly 17 to 25 years of age. The NHS describes them as 'usually starting to come through' in the teens or early 20s. A New Jersey Department of Health eruption chart lists the specific range as 17 to 21 years. how do wisdom teeth grow in NICE guidelines put it at about 18 to 24 years. The ranges are slightly different, but the message is consistent: late teens to mid-20s is normal.
There's also real sex-based variability. One panoramic imaging study found that the minimum age for gingival emergence ranged from about 17.6 to 21.9 years in women and 21.5 to 25.1 years in men across different tooth positions. In other words, the same 'normal' range covers a lot of ground, and where you fall within it doesn't mean anything is wrong.
How long it takes for wisdom teeth to fully develop (including roots)
Here's the part most people don't realize: even once a wisdom tooth breaks through the gum, it isn't 'done.' Crown formation (the enamel part) is typically completed somewhere between ages 12 and 18. Root formation for third molars generally finishes between about 18 and 25 years old. So if you're 20 and your wisdom tooth just broke through the gum, the roots underneath are likely still developing and won't be complete for a few more years.
This matters clinically, too. The AAOMS notes that wisdom teeth are actually easier to remove when patients are younger, precisely because the roots aren't fully formed yet. Shorter, less developed roots mean fewer complications during extraction. So if a dentist brings up extraction while you're young, root development stage is part of that reasoning.
Why wisdom teeth take so long (what's slowing things down)
Several things can make a wisdom tooth slower to emerge than average, and most of them come down to geometry and space.
Not enough room in the jaw
Wisdom teeth are the last to arrive, and by the time they try to erupt, the rest of your teeth have already claimed their space. If there isn't enough room at the back of the jaw, the wisdom tooth stalls. NICE defines impaction specifically as when complete eruption is prevented by lack of space, an obstruction, or an abnormal position or development. This is the most common reason a wisdom tooth seems to take forever.
Angulation and positioning

Sometimes wisdom teeth grow at an angle instead of straight up. They can tilt toward the neighboring molar (mesioangular impaction), lean backward, or even grow nearly sideways. When the angle is off, the tooth can't follow a clear eruption path, which slows or stops the process. If you've ever wondered why wisdom teeth sometimes grow sideways, that's a whole topic on its own.
Impaction delays root development too
Impaction doesn't just stop the tooth from emerging; it also slows down root formation itself. Research comparing impacted and erupted third molars found that mandibular wisdom tooth impaction can delay root development by roughly 2 to 3.5 years compared to teeth that erupt normally. So an impacted tooth may appear stalled on both fronts simultaneously.
Partial eruption that just stops
Sometimes a wisdom tooth partially breaks through the gum and then seems to get stuck there. Part of the crown becomes visible, but a flap of gum tissue (called an operculum) stays draped over the rest of the tooth. This partial state can linger for months or longer, and it's the setup for pericoronitis (an infection under that gum flap), so it's worth monitoring.
Can wisdom teeth really take years to grow in? What counts as normal
Yes, they absolutely can take years, and that's often still within the range of normal. The full eruption process from initial gum emergence to complete eruption into the bite can take months or stretch over a couple of years in some cases. And as noted, root development extends further still. The clinical definition of delayed eruption, according to dental literature, is when a tooth hasn't surfaced within 12 months of the expected eruption time or when the root is three-quarters complete without emergence. That's the threshold where dentists start thinking about investigating rather than just waiting.
If you're 22 and your wisdom tooth has been slowly creeping in for two years, that might simply be slow but normal eruption. If you're 26 and there's still zero gum emergence and your dentist hasn't taken an X-ray to check on it, that's worth a conversation. The same source that defines delayed eruption also ties it to root development milestones, not just gum visibility, which is why an X-ray gives a much more complete picture than just looking in the mirror.
Fast vs slow growth: day-by-day expectations and why timelines vary
If you're searching for 'how many days does it take for a wisdom tooth to grow in,' you're probably feeling something and wanting to know when it ends. The honest answer is that there's no single number of days. Eruption isn't like a wound healing on a schedule. The tooth moves in fits and starts, often with noticeable activity for a few days followed by weeks of apparent quiet.
The discomfort around an erupting wisdom tooth, including soreness, pressure, and gum tenderness, tends to come and go. Acute pericoronitis (infection around a partially erupted tooth) typically lasts about 3 to 4 days when it's a straightforward episode. But if the tooth is partially erupted and the gum flap isn't going away, those episodes can recur. The tooth itself can take anywhere from a few months for initial gum emergence to a year or more to fully clear the gum line, depending on how much resistance it meets. do teeth hurt when they grow. why does my head hurt when my wisdom teeth grow. pain when new teeth grow
Why does it vary so much? Genetics, jaw anatomy, the tooth's starting position, and how much space is available all play a role. There's no way to predict from the outside whether your tooth will emerge quickly and cleanly or slowly and partially. That's what X-rays are for.
| Stage | Typical Age Range | What's Happening | Visible Without X-ray? |
|---|---|---|---|
| Enamel (crown) formation complete | 12 to 18 years | The crown of the wisdom tooth has fully formed beneath the gum | No |
| Gingival emergence (first cusp through gum) | 17 to 25 years | The tip of the tooth becomes visible above the gum line | Yes |
| Complete eruption into occlusal plane | 17 to 25+ years (months to 1-2 years after emergence) | The full chewing surface is level with neighboring teeth | Yes |
| Root formation complete | 18 to 25 years | Roots reach their final length and form below the bone | No (X-ray needed) |
What to do right now: signs to watch and when to see a dentist
If your wisdom tooth is in the process of coming in, here's a practical breakdown of what to watch for and what each scenario means.
Signs that are normal and manageable at home

- Mild soreness or pressure at the back of the jaw, especially when eating
- Gum tenderness around the emerging tooth that comes and goes
- A slightly swollen gum flap over a partially emerged tooth with no fever or spreading pain
- Brief episodes of discomfort lasting a few days that then settle
Signs that need a dentist visit soon
- Persistent swelling around the back of the jaw that isn't improving
- Pain or difficulty opening your mouth fully (trismus)
- Trouble swallowing
- Fever, swollen lymph nodes in the neck, or visible facial asymmetry
- A bad taste or discharge near the tooth (sign of infection under the gum flap)
- You're in your mid-20s and have had no sign of eruption and no recent dental X-ray
The more serious symptoms on that second list, particularly difficulty opening the mouth, fever, and spreading swelling, are signs of advanced pericoronitis. This can escalate, so don't sit on it. Get seen the same day or the next morning if possible.
What your dentist will actually do

Your dentist will almost certainly take an X-ray (usually a panoramic X-ray that shows all four wisdom teeth at once) to assess where the tooth is, how the roots are developing, and whether there's enough space for it to fully erupt. This is the only way to know whether a tooth that's 'taking a long time' is simply slow or genuinely impacted. InformedHealth and the NHS both emphasize that imaging is essential here, because clinical examination alone can't tell you what's going on below the gum.
Based on what the X-ray shows, the options range from watchful waiting, to cleaning and irrigation if there's a gum-flap infection, to extraction if the tooth is impacted or has caused repeated problems. If you've had more than one episode of pericoronitis around the same tooth, extraction is typically the recommended route according to Royal College of Surgeons guidelines, once any active infection is under control.
If you've been wondering whether a slow-growing wisdom tooth means something is wrong with your dental development more broadly, the answer is usually no. Wisdom teeth are notorious for their variability. They erupt later, more unpredictably, and with more complications than any other tooth in the mouth. A slow timeline on its own is rarely the problem. It's only worth acting on when symptoms show up or when imaging reveals an impaction that's going to cause trouble down the line.
FAQ
I feel like my wisdom tooth is taking too long. When should I get an X-ray?
If there is no gum bump or any sign of emergence, dentists usually rely on a panoramic X-ray to see whether the tooth is still developing under the gum, already partially erupted with a tissue flap, or positioned in a way that will likely cause impaction. Simply waiting without imaging is most reasonable only if you are within the typical age range and symptoms are minimal.
How do dentists tell delayed eruption from a normal slow schedule?
Delayed eruption is not just about when gum tissue shows, it can also be judged by root stage. A tooth may not look very active on the gum surface, yet still have meaningful root development, or the opposite. Ask your dentist to compare your current X-ray to a previous baseline if one exists, because that trend is more informative than a single image.
Why does my wisdom tooth keep hurting and then calming down again?
Some people have “partial eruption” that looks like a tooth is coming in but it keeps getting re-inflamed. That is often related to an operculum, which traps food and bacteria. If pain or bad taste keeps returning for the same tooth, that pattern is a stronger reason for treatment than one brief painful episode.
Can I get an infection before my wisdom tooth fully comes through?
Yes. Even when a wisdom tooth is not yet fully erupted, you can still get pericoronitis, which can cause significant swelling and difficulty opening your mouth. The key clue is that symptoms tend to cluster around the partially erupted area, not just generalized “teething” discomfort.
If a wisdom tooth stalls, does it ever start erupting again on its own?
If your wisdom tooth is angled and stuck, tooth eruption may stop while the tooth remains in the bone. In that situation, symptoms may come and go, but the tooth can continue to develop incompletely or change position slightly over time. This is one reason repeating symptoms should be evaluated with updated imaging rather than treated as a recurring minor irritation.
My wisdom tooth doesn’t hurt. Should I still worry about impaction?
A common mistake is assuming “no pain means no problem.” Many impacted wisdom teeth are symptom-free until they create issues like recurring gum inflammation, decay on the adjacent molar, or cyst-like changes. Regular dental exams plus X-rays help catch problems early even when you feel fine.
Could my jaw or orthodontic changes make my wisdom tooth erupt later or more normally?
Yes, but the angle matters. Over time, chewing patterns and jaw growth can change how much pressure is applied to the area. If there is not enough space, the tooth may not have a predictable path to complete eruption even if you feel periods of improvement.
What symptoms mean I should not just manage discomfort at home?
Pain control is useful, but it does not eliminate the cause if there is an operculum or impaction. If you have fever, worsening swelling, or spreading redness, self-treatment is not enough. Seek urgent dental or medical care, because serious infections can progress beyond the mouth.
How do dentists decide between monitoring, treating inflammation, and extracting?
It depends on what’s happening under the gum. Watchful waiting is more common when the tooth is positioned reasonably and symptoms are absent, while irrigation and targeted treatment may be used when there is operculum inflammation. If an impacted tooth repeatedly triggers infection or causes complications, extraction is typically the definitive option after active infection is controlled.
What is a practical “too late” timeline for my age?
If it’s been more than 12 months past the expected eruption window for your age and there is still no eruption, that is a reasonable trigger to recheck with your dentist. The most helpful question to ask is what the X-ray shows about position and root stage, since those details guide whether you can safely wait longer or should plan treatment.

Learn why wisdom teeth grow sideways, what complications to expect, and next steps like X-rays, monitoring, or extractio

Learn where wisdom teeth grow, typical ages, eruption signs, and what to do for pain, impaction, or missing teeth.

How wisdom teeth grow in: timing, proper eruption, common misgrowth, myths, and when to get X-rays or urgent care.

