Wisdom teeth grow late because they are genetically programmed to be the last teeth in your mouth to develop, full stop. While your other molars finish forming and erupting by around age 12 or 13, wisdom teeth (your third molars) don't typically start pushing through the gums until somewhere between 17 and 25, with some people not seeing any action until their late 20s or even beyond. That's not a malfunction. That's just how human tooth development works. The real question most people are actually asking is: how late is too late, and when does "late" mean something is wrong? Let's get into it.
Why Do Wisdom Teeth Grow So Late? Causes and What to Do
Why wisdom teeth erupt so much later than your other teeth

Your teeth don't all develop on the same schedule. Tooth development (called odontogenesis) happens in staged phases: a bud forms, then a cap, then a bell shape, and eventually a crown before the tooth ever starts moving toward the surface of your gums. Your incisors and first molars start this process early in childhood, finish forming quickly, and erupt when you're still young. Wisdom teeth start their developmental clock much later and take longer to form. By the time the crown of a wisdom tooth is complete and the tooth is ready to erupt, you're typically already a teenager or young adult.
The American Association of Oral and Maxillofacial Surgeons (AAOMS) describes wisdom teeth as the last teeth to erupt, usually appearing between ages 17 and 25. The Mayo Clinic puts the window at 17 to 26. Those ranges overlap for a reason: there's genuine biological variability here, and not everyone's timeline looks the same. Some people see their wisdom teeth at 17. Others don't until their mid-20s. A smaller group doesn't see them erupt at all, either because they never developed or because they stay impacted beneath the gumline.
One thing worth understanding is that eruption and development are two different things. A wisdom tooth can be fully formed beneath your jawbone years before it ever breaks through the gum surface. The eruption stage, when the tooth actually migrates upward into the oral cavity, is a separate process that can be slowed, blocked, or redirected by a whole range of factors. This is why your dentist might see a fully formed wisdom tooth on an X-ray when you're 16, but that same tooth might not erupt until you're 23, or possibly not at all.
What makes some wisdom teeth erupt earlier or later than others
Genetics is the biggest driver. Research from genome-wide association studies has confirmed that eruption timing is significantly influenced by your genetic makeup, meaning the age at which your wisdom teeth decide to show up is largely written into your DNA. If your parents had their wisdom teeth come in late, there's a reasonable chance yours will too. If they never erupted at all on one side of your family, you might want to read our piece on whether it's possible to not grow wisdom teeth, because that's actually a real (and increasingly common) scenario.
Beyond genetics, local factors in the mouth play a large role. A StatPearls review identifies several causes of delayed eruption, including mucosal barriers (thick gum tissue over the tooth), early loss of a neighboring tooth, infections, and even certain systemic conditions or medications. So if you had a lot of dental work or infections as a kid, that history can sometimes influence when (and whether) wisdom teeth eventually emerge.
The jaw size, genetics, and tooth position problem

Here's where things get genuinely complicated for a lot of people. Wisdom teeth erupt last, but by the time they're ready to come in, the space at the back of your jaw is often already claimed. Modern human jaws have trended smaller over thousands of years of dietary and evolutionary changes, but we still develop the same number of teeth our ancestors did. The result: a mismatch between available real estate and the teeth trying to move in.
The American Association of Orthodontists explains that impacted teeth commonly result from lack of space in the mouth, an incorrect angle of eruption, or a physical obstruction blocking the eruption path. All three of these are especially common with wisdom teeth. A wisdom tooth might be angled toward the second molar (mesioangular), angled away from it (distoangular), growing completely sideways (horizontal), or sitting at a normal vertical angle but simply running out of room before it can fully break through. Dentists and oral surgeons classify these positions using systems like Winter's classification and Pell & Gregory's depth classification, which is how they figure out exactly what they're dealing with on an X-ray and how complicated any potential extraction might be.
Tooth position also affects eruption timing. A wisdom tooth that's angled awkwardly may take much longer to partially erupt (or may never fully erupt) compared to one that's sitting vertically in a mouth with adequate space. The anatomical pathway the tooth takes through the jawbone, sometimes called the gubernacular canal, also influences whether eruption proceeds normally. If that path is disrupted or blocked, the tooth can stall. This is the distinction StatPearls draws between "delayed eruption" (the tooth is slow but moving) and true impaction (the tooth physically cannot erupt due to a barrier).
If you've ever wondered about whether wisdom teeth can grow on the top of the mouth versus just the bottom, position variability is exactly why that question comes up. Upper and lower wisdom teeth behave differently and are affected by the anatomy of the upper jaw versus the lower jaw in distinct ways.
Is late eruption normal? Signs you should get checked out
In most cases, yes, late eruption is completely normal. If you're 22 and your wisdom teeth are just starting to peek through, that's within the typical window. If you're 26 and they've been slowly making their way in, that's also not unusual. The NHS notes that wisdom teeth can cause problems at any age and that partial eruption is common even when timing varies. The key isn't the age on the calendar so much as what the tooth is doing and whether it's causing any problems.
That said, there are specific symptoms that mean you should call your dentist now rather than waiting it out. Watch for these:
- Persistent pain or pressure at the back of your jaw that doesn't go away after a few days
- Swelling, redness, or tenderness in the gum tissue around a partially erupted tooth
- Difficulty opening your mouth fully or pain when chewing
- A bad taste in your mouth or bad breath that doesn't resolve with brushing
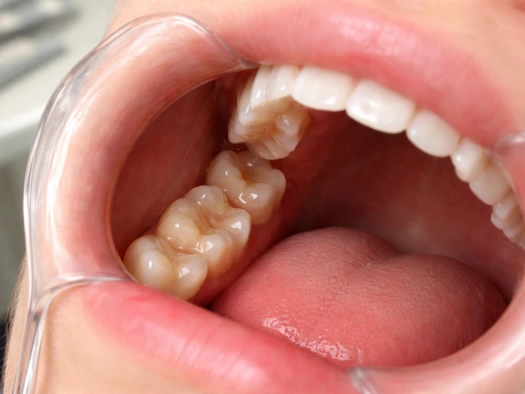
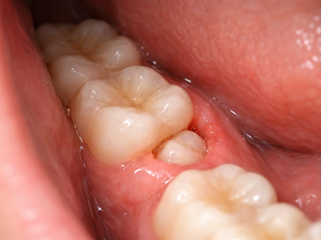
- Visible gum flap (called an operculum) over a tooth that keeps getting bitten or inflamed
- Pain spreading into your ear, jaw, or throat on one side
- Swelling in your face or jaw, particularly if it's getting worse
That gum flap situation has a specific name: pericoronitis. It's inflammation of the tissue around the crown of a partially erupted tooth, and it's one of the most common problems associated with wisdom teeth that are partially through but haven't fully emerged. The Cleveland Clinic describes pericoronitis as something that can range from manageable with cleaning and antimicrobial rinses to serious enough to require antibiotics or removal of the tooth, depending on severity. A published clinical review confirmed that persistent or worsening pain around an erupting wisdom tooth warrants professional consultation.
If you have severe jaw swelling with difficulty breathing or opening your mouth, that's an emergency. Don't wait for a routine appointment. Seek urgent dental or medical care. NHS urgent care guidelines specifically list severe swelling with restricted mouth opening as a reason to seek emergency help.
Can wisdom teeth grow in later in life, and how late is realistic?

Yes, wisdom teeth can erupt after age 25, and occasional eruption into the early 30s is documented. Clinical dental content from the Canadian Dental Health Program acknowledges that wisdom teeth can erupt after age 30, though this is less common and comes with more caveats. The tooth needs to have developed normally, and it needs a path to erupt through. If you're 32 and feel a new tooth emerging at the back of your mouth, it could genuinely be a wisdom tooth that's been sitting there waiting. It's worth getting it checked to confirm what you're feeling and whether there's any associated concern.
However, "erupting late" is fundamentally different from "growing a new tooth." What's happening when a wisdom tooth comes in at age 30 is that an existing, already-formed tooth is finally completing its eruption journey into the oral cavity. The tooth has been there the whole time, buried in the jaw. It didn't spontaneously generate from nothing. This matters a lot because of a common misconception some people have about teeth growing back, which we'll address head-on in a moment.
People also sometimes wonder about whether wisdom teeth grow in spurts rather than steadily. The short answer is that eruption can feel uneven because of the tissue resistance and pressure involved, and it's not unusual for a wisdom tooth to partially emerge, pause, and then continue (or stop entirely). That stop-and-go feeling is real, not imagined.
What to do about late wisdom teeth: monitoring vs. extraction
Not every late wisdom tooth needs to come out. This is where a lot of people get conflicting advice, and honestly, the dental literature reflects genuine debate here. A Cochrane systematic review evaluated whether asymptomatic, disease-free impacted wisdom teeth in teenagers and adults should be surgically removed or retained with regular monitoring, and found insufficient evidence to support routine prophylactic removal in adults who have no symptoms and no disease associated with the tooth.
In practice, what this means is that if your wisdom tooth is erupting late but isn't causing pain, infection, crowding, or damage to neighboring teeth, watchful waiting with periodic X-ray monitoring is a completely reasonable approach. Your dentist will typically take panoramic radiographs (an X-ray that shows all your teeth and jaws at once) to evaluate the tooth's position, angle, depth, and relationship to surrounding structures. When there's more complexity, such as a tooth sitting close to an important nerve or near a sinus cavity, CBCT (3D cone beam imaging) may be used for more precise assessment, as AAOMS notes is appropriate in those situations.
Extraction becomes the recommendation when the wisdom tooth is causing or likely to cause: infection or repeated pericoronitis episodes, cyst formation (the ADA notes impacted wisdom teeth can form cysts), damage to the adjacent second molar, significant crowding or orthodontic issues, or pain that doesn't resolve. Impacted wisdom teeth that aren't removable on the eruption timeline may eventually be referred to an oral and maxillofacial surgeon, especially if the angulation or depth makes a routine extraction complex.
For pain management while you're monitoring or waiting for an appointment, over-the-counter ibuprofen (if appropriate for you medically) tends to work better than acetaminophen for the inflammation component of wisdom tooth pain. Warm salt water rinses can help keep the area around a partially erupted tooth clean and reduce gum irritation. Avoid sticking anything into the gum pocket around a partially erupted tooth to "clean it out," as this can introduce bacteria and make things worse.
If you're not sure how many wisdom teeth you actually have or might be developing, it helps to understand that the answer varies more than most people realize. Have a look at what research says about how many wisdom teeth people actually grow, because not everyone develops a full set of four.
The myth of wisdom teeth "growing back": what can and can't regenerate
This is where this website's whole focus becomes directly relevant. Some people searching about late wisdom tooth eruption are also wondering whether a tooth that's been removed can grow back, or whether the slow eruption they're experiencing is some kind of regrowth. Let's be completely clear about what's actually happening biologically.
When a wisdom tooth erupts, whether on time or late, it is an existing tooth completing a developmental process that started years earlier. The tooth was already formed in the jaw. Eruption is the final stage of that process. It is not regrowth. It is not regeneration. Humans do not spontaneously grow new teeth after their adult (permanent) teeth come in. A review published in PMC on tooth regeneration is explicit that spontaneous physiologic regrowth of a fully missing adult tooth is not an established human capability. Once a permanent tooth is extracted, it does not grow back.
The confusion often comes from a few directions. First, enamel (the hard outer coating of a tooth) cannot regenerate itself at all once it's fully formed, because the cells that created it, called ameloblasts, are lost after tooth eruption. A scientific review on enamel regeneration confirms that mature enamel is acellular and does not self-repair the way bone does. Second, there is legitimate and exciting research happening in dental regeneration science. Researchers have explored using dental pulp stem cells from baby teeth to regrow dental tissue, and there are ongoing studies into regenerating components like pulp, dentin, and periodontal ligament. But this research is at the laboratory and early clinical trial stage. It is tissue engineering, not natural regrowth, and it doesn't mean you can regrow a wisdom tooth that was extracted.
The bottom line: if your wisdom tooth is erupting late, that's normal human dental development finishing its programmed course. If a wisdom tooth was removed, it won't come back. The "late growth" people experience is always an existing tooth finally breaking through, not a new tooth generating itself from scratch.
Your next steps today
If you're in your late teens or 20s and wondering why your wisdom teeth haven't shown up yet, the answer is probably just that your timeline is at the later end of normal. Get a panoramic X-ray at your next dental checkup so you and your dentist can see what's actually going on beneath the gumline. If you're experiencing any of the warning symptoms listed above, specifically pain, swelling, gum inflammation, or difficulty opening your mouth, don't wait for a routine visit. Call your dentist this week.
If you're in your 30s or older and feel something erupting at the back of your mouth, get it checked rather than assuming it's nothing. Late eruptions do happen, but the older you are, the more important it is to confirm what's going on with imaging. An impacted tooth that's been sitting there for a long time can occasionally develop a cyst or affect the health of adjacent teeth without causing obvious symptoms until the problem is significant.
The most useful thing you can do right now is have a conversation with your dentist armed with the right questions: Is my wisdom tooth currently developing or has it stopped? Is it fully impacted, partially erupted, or still moving? Does it need monitoring, or is there a problem that warrants treatment now? Those questions, paired with a good set of X-rays, will give you a much clearer picture than any amount of waiting and wondering.
FAQ
If my wisdom teeth are late, does that automatically mean they will eventually erupt normally?
Not always. If the tooth is fully covered by gum and not contacting the second molar, many dentists use periodic monitoring rather than treatment. The decision hinges on imaging findings like depth, angulation, proximity to nerves or sinus, and whether there are early signs of decay or gum disease around the area.
How accurate are X-rays for figuring out whether a late wisdom tooth is impacted or still erupting?
A panoramic X-ray shows the overall position, depth, and angulation, but it can miss fine details about nerve proximity and root orientation. If the tooth is close to the inferior alveolar nerve or the situation is complex, CBCT (3D imaging) is sometimes recommended to reduce the risk of nerve injury and to plan extraction safely.
What should I do at home if a wisdom tooth is peeking through but not fully erupted yet?
If they are growing in late, you can still have partial eruption, and that increases the chance of pericoronitis because the gum flap traps bacteria. The safest home approach is gentle salt-water rinses and good brushing nearby, but avoid poking or scraping under the gum flap, which often worsens inflammation.
How can I tell the difference between normal pressure and something that needs urgent care?
Severe symptoms can come and go, even if the underlying issue is worsening. Recurrent bouts of pain, bad taste, pus-like drainage, fever, or swelling that is increasing are better treated as a “get evaluated” signal rather than waiting for the next routine visit.
Can my dentist see wisdom teeth on an X-ray even if I cannot feel or see them?
Yes, it is possible for the tooth to be present on X-ray but not erupt due to true impaction or lack of space. That means you might have no visible tooth and still have pathology risk, which is why dentists often base management on imaging plus symptoms rather than on what you can see in the mirror.
If I remove one wisdom tooth, will the others be more likely to come in later?
Removing one wisdom tooth can sometimes make a second one more likely to erupt if the main barrier is crowding, but it is not guaranteed. Often, the driver is the tooth’s angle and depth, and space gains might not overcome a blocked eruption path.
Do systemic conditions or medications change the timing of wisdom tooth eruption, or mainly the risk of complications?
Some medications can worsen dry mouth or change infection risk, but they do not typically “cause” wisdom teeth to form late. If you are on immunosuppressive drugs, have diabetes, or take medications that affect healing, you should mention that to your dentist because it can affect how aggressively they manage inflammation or plan extraction.
If ibuprofen helps my wisdom tooth pain, does that mean I can safely wait?
Pain relief is temporary, it does not fix an impaction or eliminate the cause of pericoronitis. Ibuprofen can reduce inflammation if you can take it, and cool or warm compresses may help, but if symptoms keep returning, you generally need a dental plan (monitoring vs extraction).
Can orthodontics prevent impacted wisdom teeth or change whether they need to be extracted?
Not necessarily. Orthodontic treatment can create space, but whether it helps depends on the tooth’s direction of eruption and how much space is actually available at the back of the arch. Dentists sometimes coordinate timing, taking orthodontic progress into account when deciding between observation and removal.
What symptoms mean “don’t wait for a routine dental appointment,” even if it seems like wisdom tooth pain?
If your symptoms started suddenly with major swelling, difficulty swallowing, or trouble opening your mouth, it could be more than an erupting tooth, such as a spreading infection. Those red flags warrant same-day or urgent evaluation, because delaying treatment increases the risk of complications.

Can wisdom teeth grow on top or the palate? Learn locations, signs, causes, and when to get X-rays and dental care.

Teeth grow in two natural sets: baby then permanent. Regrowth after loss is rare; wisdom teeth are the exception.

Debunks can teeth grow back 3 times. Explains natural tooth replacement once, enamel remineralization, and real treatmen

