No, a <a data-article-id="2A4BFA2A-3733-47F1-928E-A48572E9591D">tooth will not grow back after extraction</a> in adults. Once a permanent tooth is pulled, that's it for that tooth. There is no biological process in the adult human body that rebuilds a tooth from scratch after it has been removed. Even if you mean the situation where if permanent tooth falls out will it grow back, the adult body does not rebuild a removed tooth from scratch. The socket heals, the gum closes over, and some bone fills in, but what you get at the end of that healing is an empty space where the tooth used to be, not a new one. That answer holds true whether you're asking about an extracted molar, a front tooth, or a wisdom tooth.
Will Teeth Grow Back After Extraction? What to Expect
The one real exception involves children with baby teeth, and even that is only partially a true exception (more on that below). For everyone else, the short answer is: no regrowth, but yes, healing, and yes, good replacement options exist.
Why teeth can't just grow back after they're pulled

The reason teeth don't regrow comes down to biology, specifically the way teeth are built in the first place. Teeth are not like skin or bone, which have active regenerative cells throughout your life. A tooth is a complex organ built during embryonic and early childhood development through a tightly coordinated process called odontogenesis. It requires multiple interacting tissue layers: the enamel organ, the dental papilla, and the dental follicle all working together in a specific developmental sequence. Once that window closes, the molecular "program" that builds a tooth simply isn't running anymore.
When a tooth is extracted, the entire tooth unit comes out: enamel, dentin, cementum, and pulp. When a tooth is extracted, the entire tooth unit comes out: enamel, dentin, cementum, and pulp, so the question of whether does tooth pulp grow back is answered the same way as the rest of the tooth. The periodontal ligament that attached the root to the jawbone is disrupted. The root sheath (called Hertwig's epithelial root sheath) that instructs root formation during development is gone too. None of these structures regenerate in adults in a way that could reassemble into a working tooth. Even the stem cell research on this topic is still in early experimental stages, and researchers are clear that postnatal dental stem cells lack the potency to regrow a complete tooth organ. It's promising science, but it isn't a clinical option you can access today.
What actually can regenerate: gums, enamel, and bone
Even though the tooth itself can't grow back, some surrounding structures do have limited regenerative capacity, and it helps to understand what's actually happening when your mouth heals after a pull.
Gum tissue heals well. The soft tissue over the socket closes relatively quickly, with epithelial coverage completing around four weeks after extraction in most cases. This is real tissue healing, but it's gum coverage, not a new tooth.
Enamel, on the other hand, cannot regenerate at all, even in an intact tooth. Enamel is made by cells called ameloblasts that are only active during tooth development. Once a tooth fully erupts, those cells are gone. So if you're wondering about enamel on an extracted tooth coming back, or enamel on any existing tooth regrowing, the answer is no. This is also the basic reason a chipped tooth cannot grow back, since the enamel part is permanently lost chipped or broken tooth can grow back. This is a common theme across related questions, like whether a chipped or broken tooth can grow back: the enamel component is permanently lost.
Bone has more capacity to heal than enamel, but it's complicated. The jaw does partially fill in the extraction socket with new bone, but it doesn't fully restore what was there.
What happens to the jawbone after an extraction

This is where a lot of people get confused about "growing back." After a tooth is pulled, the socket goes through a predictable healing sequence. A blood clot forms first. Over the next several days, granulation tissue starts replacing that clot. By about six to eight weeks, woven bone has begun filling the socket. This process continues remodeling for months. So in one sense, yes, bone does grow into the extraction site. But here's the catch: the alveolar ridge (the ridge of bone that used to hold the tooth) actually shrinks during this process, not grows.
Research is pretty clear on this. Studies show horizontal bone loss of 29 to 63 percent and vertical bone loss of 11 to 22 percent in the six months following extraction. That's a significant reduction in the bone architecture that supported the tooth. Without intervention, you end up with less bone than you started with, which matters a lot if you're considering a dental implant later. Procedures like ridge preservation (which uses bone graft material to pack the socket) can reduce that loss, though they don't eliminate it entirely.
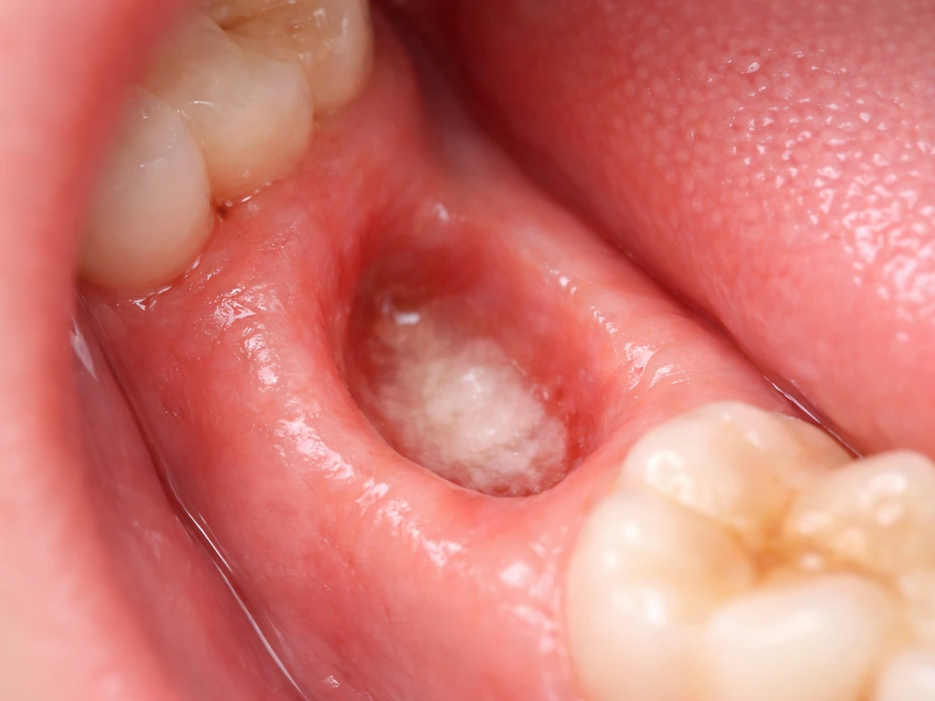
One common misconception worth clearing up: some people notice hard bumps or something that feels like a tooth fragment emerging from the healing socket. This is usually a bone spicule, a small piece of bone working its way out during healing. It's not a new tooth forming. Same with tissue changes that might feel odd to the tongue. These are all part of normal socket remodeling, not regrowth of tooth structure.
Age matters: children, teens, and adults aren't the same situation
Children and baby teeth
This is where the honest exception lives. If a child loses or has a baby tooth extracted, a permanent successor tooth is already developing underneath it in most cases, and that tooth will eventually erupt on its own schedule. This can look like the tooth "grew back," but it isn't regrowth. It's a completely separate tooth that was already in development before the baby tooth was ever pulled. The extraction of the baby tooth didn't cause the permanent one to grow. It was going to erupt anyway.
The nuance here is important for parents: if a baby tooth is extracted early, the permanent replacement doesn't just pop up immediately. Timing depends on which tooth it is and how far along the permanent tooth's development is. A space maintainer may be needed to hold room so adjacent teeth don't drift and block the permanent successor from erupting properly.
Teenagers and mixed dentition

Teens are often still in a stage where permanent teeth are actively erupting. The first permanent teeth typically come in around ages 6 to 7, and eruption continues through the teen years. So if a teen has a tooth extracted and then notices another tooth appearing nearby, it may simply be a permanent tooth that was already scheduled to erupt, not a replacement for what was removed. This is especially relevant for wisdom teeth, which commonly complete eruption between ages 17 and 20.
Adults and permanent teeth
For adults, there is no successor tooth waiting in the wings. Once a permanent tooth is extracted, there is nothing else in the developmental pipeline to take its place. Some adults ask specifically about wisdom teeth: "If my wisdom tooth is removed, will another one grow back?" The answer is no. Not everyone even develops wisdom teeth in the first place (third molar agenesis is common), and those who do don't get additional molars after extraction. What might happen after a wisdom tooth is removed is that surrounding teeth gradually shift over time, which can change how the bite feels. That's shifting, not regrowth.
Common "new tooth" mix-ups after extraction

There are a handful of situations where people genuinely think a tooth has grown back after extraction, and every one of them has a non-regrowth explanation.
- A permanent tooth erupts after a baby tooth was pulled: not regrowth, just normal succession that was already in progress
- An adjacent tooth or wisdom tooth shifts or tips into the gap: tooth movement, not new tooth formation
- A bone spicule or fragment works its way through the gum: bone remodeling, not a tooth
- A dental implant, bridge, or partial denture fills the space: a prosthetic replacement, not biological regrowth
- A tooth that was thought to be extracted was actually only partially removed: retained root fragments can cause symptoms and are sometimes mistaken for regrowth
On that last point: retained root tips are worth mentioning separately. In some extractions, especially difficult ones, a small root fragment may be left behind intentionally (if removal would cause more harm than benefit) or accidentally. If that fragment later causes trouble, it may need to be removed. This is not a tooth growing back. It's an unremoved piece of the original tooth.
The question of whether an extracted permanent tooth can grow back is closely related to broader questions about tooth regeneration after loss. Whether you mean a tooth that fell out, a chipped or broken tooth, or one that was removed, damaged tooth structure does not regrow in adults tooth regeneration after loss. Whether we're talking about a tooth that fell out naturally, a broken tooth, or one that was removed, the biological answer for permanent teeth in adults is the same: regrowth is not possible with current dental science.
What to do right now: healing, warning signs, and your real options
Normal healing vs. something worth calling about
In the first day or two after extraction, some bleeding and oozing is completely normal. Mild discomfort is expected and manageable with over-the-counter pain relief or whatever your dentist prescribed. What's not normal is pain that gets significantly worse two to three days after the procedure rather than improving. That pattern is one of the main signs of dry socket, a condition where the blood clot in the socket is lost or dissolves before healing is complete, leaving the bone exposed. Dry socket typically starts with severe, throbbing pain one to three days post-extraction, often with a bad taste or smell.
Call your dentist promptly if you experience any of the following:
- Pain that worsens significantly after the first couple of days instead of gradually improving
- Fever above 101°F (38.3°C)
- Excessive bleeding that won't slow down with gentle pressure
- Swelling that increases after 48 hours rather than subsiding
- Foul taste or smell from the socket that develops a few days out
- Numbness that doesn't resolve as expected
Long-term options for the missing tooth

Once healing is underway, the practical question becomes: what do you do about the gap? You have several well-established options, and the right one depends on your health, budget, bone levels, and personal preferences. Here's a quick comparison:
| Option | How it works | Bone requirement | Typical timing after extraction | Lifespan |
|---|---|---|---|---|
| Dental implant | Titanium post placed in jawbone, topped with a crown | Sufficient bone needed; ridge preservation helps | Early placement at 4–8 weeks, or late placement 6+ months | 15–25+ years with good care |
| Fixed bridge | Crowns on adjacent teeth support a false tooth in between | No bone needed at extraction site | After healing, typically 6–8 weeks minimum | 10–15 years on average |
| Removable partial denture | Removable appliance with artificial teeth attached | No bone needed | Can be made relatively soon after healing | 5–10 years before replacement |
| Do nothing | Leave the space empty | No intervention required | N/A | Permanent gap; risk of shifting and bone loss over time |
If you're leaning toward an implant, timing matters more than most people realize. The alveolar bone shrinks significantly in the months after extraction, especially in the first six months. Research on implant placement timing suggests that early placement (four to eight weeks after extraction, once soft tissue has healed) or a 12 to 16 week window (once partial bone healing has occurred) may preserve more bone volume than waiting over six months. Talk to your dentist or oral surgeon about ridge preservation at the time of extraction if an implant is in your future, because doing that early makes a real difference in what you have to work with later.
Questions worth asking your dentist at your next visit
- Should I have ridge preservation done at the time of extraction to maintain bone for an implant?
- How long do I need to wait before starting the replacement process?
- Is there any risk of adjacent teeth shifting into the gap, and how quickly could that happen?
- What are the signs of dry socket I should watch for, and when should I call?
- Are there any retained root fragments to be aware of from my specific extraction?
The bottom line is this: <a data-article-id="EC7B4312-403D-42FD-88F7-90E3FF862F23">tooth regrowth after extraction</a> is not something that happens in adult humans with current dental science, and it's unlikely to become a real clinical option in the near future despite promising research. What you can count on is that the socket will heal, the bone will partially fill in, and the gum will close over. From there, you have solid, proven options for replacing the tooth that will look and function well. The goal is to make a good decision about that replacement before too much bone resorption occurs, which means having this conversation with your dentist sooner rather than later.
FAQ
If I notice a hard bump or a toothlike shape coming out after extraction, is that my tooth growing back?
Not usually. The socket may look smaller as the gum tightens and as bone remodeling shrinks the ridge, but the tooth structure itself does not reappear. If you see something hard or pointy, it is often a bone spicule or an area of healing bone, not a new tooth.
What could explain ongoing pain weeks after extraction if teeth cannot grow back?
It is more likely to be a retained root tip fragment, especially if the dentist mentioned a difficult extraction or if the pain persists longer than expected. Even then, it requires an exam and usually an X-ray to confirm, because healing tissue can also cause temporary discomfort.
Will my other teeth move to “fill in” the gap after an extraction?
No, because adults do not rebuild a complete tooth organ after the extraction. What can happen is that adjacent teeth shift slightly, changing how you feel your bite. That is movement, not replacement of the missing tooth.
When should I start talking to my dentist about implants after an extraction to preserve bone?
Yes, but timing depends on the replacement plan. If you plan an implant, you typically discuss whether to do ridge preservation at the time of extraction and whether to place the implant after soft tissue healing (early) or after more bone healing. Waiting much longer usually means less bone volume for the implant.
How long is “healed” after extraction, and when does the bone stop changing?
Usually, the gum closes over the socket within weeks, but the deeper bone remodeling continues for months. That means you may feel “healed” on the surface while the ridge architecture is still changing underneath, which matters if you are considering an implant later.
Is it normal for pain and bleeding to come and go after tooth extraction?
Bleeding can be normal right after the procedure, but severe pain that worsens after day 2 or 3 is not normal and can point to dry socket. You should contact your dentist promptly because treatment can reduce pain and help restore proper healing.
If enamel cannot regrow, does that also affect how chipped teeth are treated compared with extracted teeth?
Because enamel cannot regenerate, a chipped or broken tooth will not regrow the lost enamel surface after extraction. If the tooth is intact and treated promptly, options like bonding, crowns, or veneers may restore function and appearance, but regeneration is not the mechanism.
In children, could a tooth extracted early ever delay the permanent tooth eruption enough to need a space maintainer?
Yes, there can be a successor in children, but it depends on which tooth is involved and how mature the permanent tooth is. If a baby tooth is lost early, a space maintainer may be needed to prevent crowding that blocks the permanent tooth from erupting normally.
What symptoms are considered normal during healing versus signs I should be seen urgently?
Normal socket remodeling can still feel odd, including temporary tenderness, changes in texture, or small tissue edges you can feel with your tongue. However, if symptoms escalate, you develop fever, or the area keeps worsening, you need an exam to rule out infection or dry socket.
Can a fragment left behind after extraction make it feel like a tooth returned?
A partial extraction or difficult removal can leave small fragments behind, such as root tips, which can later cause pain or delay healing. That is not regrowth, but it is a common reason people think a tooth is “coming back” and it is fixable once identified.

Broken or cracked tooth rarely regrows; learn what can heal, what needs bonding, crowns, root canal, or extraction.

Know if a permanent tooth regrows after it falls out, why it usually won’t, and what to do immediately and next.

Learn if a chipped tooth can grow back, why enamel cannot regrow, and what to do for quick, realistic repair.
